Pasientnær ultralyd, eller point-of-care ultrasound (PoCUS), kan bli definert som bruken av bildeskapande ultralydutstyr for diagnostikk eller prosedyreveiledning, utført av klinikaren sjølv i konsultasjonsøyeblikket, for direkte korrelasjon med symptom og teikn (1). Dette står gjerne i motsetnad til ultralyd utført av radiolog eller sonograf etter tilvising frå klinikaren etter konsultasjon.
I Noreg har jo som alle veit gynekologar og kardiologar vore dei spesialistane som har hatt mest vidstrakt bruk og nytte av pasientnær ultralyd, men også t.d. revmatologar, fysikalsk medisinarar og gastroenterologar har lenge hatt entusiastar som har funne mange bruksområde. Dei siste 10-15 åra har ein sett stadig aukande bruk innan andre spesialitetar, og PoCUS har dei siste åra blitt meir eller mindre obligatorisk del av spesialiseringa til dømes for akutt- og mottaksmedisinarar, anestesilegar og subspesialiseringar innan indremedisin som lunge og nyre. I aukande grad ser ein også at ultralyd blir integrert i medisinstudentutdanninga. Mellom anna hadde Universitetet i Bergen ein ultralydstasjon på sin OSCE av 3. års medisinstudentar før jul. Fleire og fleire allmennlegar nyttar ultralyd, og Myklestul et al har nyleg funne at opp mot 30% av allmennlegar har nytta ultralyd (2). Sjølv har eg saman med Steinar Hunskår skrive ein systematisk oversiktsartikkel om allmenn- og akuttmedisinarar sin bruk av PoCUS i uselekterte populasjonar der me oppsummerer funna frå 26 meta-analysar og 168 primærartiklar (3). Ultralyd kan brukast med høg diagnostisk nøyaktigheit av desse på hjarte, lunger, abdomen, innan obstetrikk, auger, blautvev og bein. Til dømes kan allmennlegar med høg spesifisitet og sensitivitet finne teikn på hjartesvikt, DVT, aortaaneurisme, fosterleie, beinbrot m.m.

For private næringsdrivande, og for dei som sit med budsjetta på sjukehusa, har nok også kostnaden på gode apparat og transduserar eller “prober” lenge vore eit disinsentiv. Men Moores lov om to-årleg dobling av antal transistorar på same areal har gjort seg gjeldande også i ultralydverden i form av stadig raskare, mindre og billegare apparat.
For dei som gjerne har eit fast kontor er fortsatt større ultralydsystem med moglegheit for tilkopling av fleire transduserar ofte det beste reint teknologisk og biletmessig, og det finst ei heil rekke av konkurrentar med gode apparat. Ein kan få rimeleg god kvalitet for eit par hundre tusen kroner, og gjerne mindre om ein går for ein laptop-løysing med gjerne bare to transduserar tilpassa ditt bruk. Leiter ein, kan ein gjerne også gjera eit kupp om ein ser etter berre nokre år gamle apparat utan å gå på kompromiss med biletkvalitet.
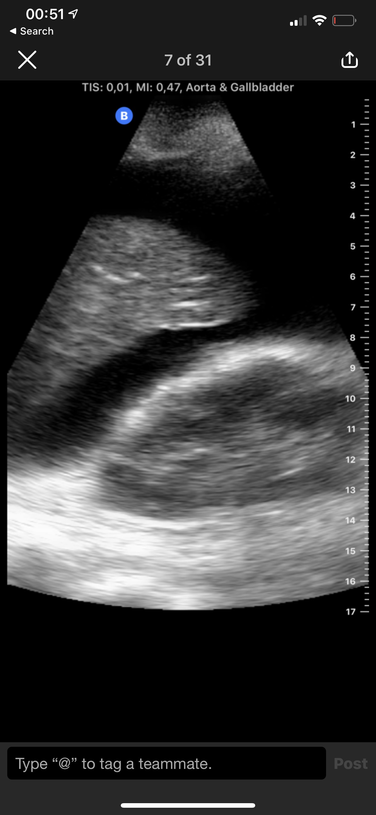
Eksempel på bilete frå Butterfly iQ. Massiv ascites hjå kreftpasient. Lever og høgre nyre. Samtykke til undervisingsbruk frå pasient.
Då norske GE Vingmed Ultrasound kom med sin handhaldte mobil-liknande ekkoprobe Vscan i 2009 var det eit lite paradigmeskifte. Han vart med god grunn kåra til årets ingeniørbragd av Teknisk Ukeblad. Plutseleg kunne ein dra fram ultralydmaskina frå lomma, anten ein gjekk på visitt eller var ute på legevakt eller i eit helikopter. Den siste generasjonen til Vscan har to transduserar i eitt stykke og ein høgoppløyst skjerm i smarttelefonformat. Andre konkurrentar på marknaden er t.d. Philips med sin Lumify som kan koblast til Android nettbrett eller telefonar, Clarius med sine trådlause transduserar og SonoSite sin iViz. Felles for alle er at dei bruker tradisjonelle piezo-elektriske krystallene i transduserane sine. Desse er gjerne det fordyrande elementet. Kvar transduser må også stemmast til eit relativt snevert frekvensområde for sitt bruk. Ei “ekkoprobe” må ha låg frekvens for å komme djupt nok inn i brystkassa, men også eit lite fotavtrykk for å kunne “kikke inn” mellom ribbeina. For overflatisk muskel-skjelett-undersøkelsar derimot treng ein gjerne ein høg frekvens for høgast mogleg oppløysing og eit større fotavtrykk for å kunne sjå mest mogleg under overflata. Dette gjer at ein anten må kompromittere på bruksområde eller på pris. Ovannemnte apparat kostar gjerne frå ca 40000 og oppover til 200000. I 2018 vekte nyoppstarta Butterfly Networks til live ein annan teknologi som ikkje hadde vore særs utstrakt i bruk før, i staden for krystaller nyttar denne silikon-transistorar og tusenvis av metalliske mikrosensorar. Dette gjer at ein har eit mykje større frekvensområde og eit fotavtrykk som kan emulera både ekkoproben og lineærproben - alt for ein lågare pris enn nokon av dei andre. Transduseren kan koplast direkte til ein telefon eller nettbrett, men som andre saker som er designa til å gjera meir enn éin ting er det kompromisser på kvalitet også her. Likevel ser det, enn så lenge, ut til å bli den nye folkevogna blant ultraportable maskiner.
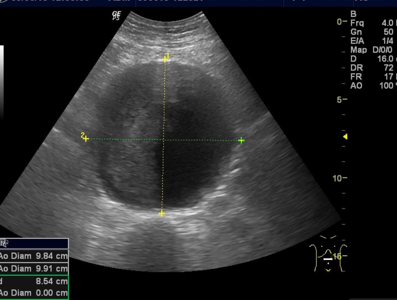
Eksempel på bruk av ultralyd i allmennpraksis. Abdominal aortaaneurisme oppdaga grunna pasientens subjektive opplevelse av pulsering i abdomen. Samtykke til undervisingsbruk frå pasient.
Ein god fotograf kan ta rimeleg gode bilete med eit enkelt kamera. Omvendt, eit dyrt fotoapparat med dyre objekt gjer ikkje den ukyndige fotograf betre. Slik er det også med ultralyd, og å kunne ta i bruk teknologi som dette på ein nyttig og effektiv måte krever først og fremst ein iherdig læringsinnsats. For den interesserte klinikar finst det etter kvart mange gode kurs og læringsmiljø. Eg tilrår å oppsøke til dømes DNLF sin kurskatalog eller til dømes Norsk Forening for Ultralyddiagnostikk og Forening for ultralyd i allmennmedisin på facebook eller heimesidene deira for meir informasjon. Finn deg gjerne ein kollega med meir erfaring som kan sende deg i rett retning og gi deg gode tips! Lykke til!
Av Bjarte Sørensen, fastlege Hjelmeland legekontor
1. Moore CL, Copel JA. Point-of-care ultrasonography. N Engl J Med 2011;364:749-57
2. Myklestul H-C, Skonnord T, Brekke M. Point-of-care ultrasound (POCUS) in Norwegian general practice. Scand J Prim Health Care 2020;1-7.
3. Sorensen B, Hunskaar S. Point-of-care ultrasound in primary care: a systematic review of generalist performed point-of-ar ultrasound in unselected populations. Ultrasound J 2019;11:31
Bjarte Sørensen, fastlege Hjelmeland legekontor