Fag
Om NFMSR
Kurs
Bli medlem

Larvik-kurset 2026

Er desverre avlyst
Ingen Larvik-kurset 2027 pga ESSR 2027 i Bergen.
Vi satser på Larvik-kurset 2028!
  • Larvik2026.radiology.no

Larvik-kurset 2026

Er desverre avlyst
Ingen Larvik-kurset 2027 pga ESSR 2027 i Bergen.
Vi satser på Larvik-kurset 2028!
  • Larvik2026.radiology.no

Fra Arkivet

  • Bilde av Roar Pedersen sin podcastlogo.
    Podcast med Roar Pedersen!
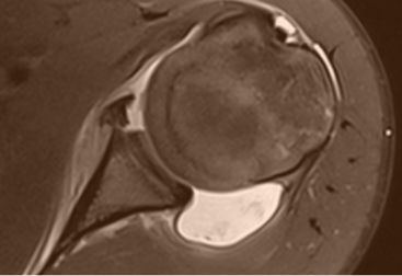
  • Mr av skulder
    MSK-fellowship mars 2022 - Roar Pedersen
  • Logo for muskel og skjelettradiologi.
    Offisiell erklæring fra ESSR

Hva synes du om denne siden? Gi oss tilbakemelding

Legeforeningen logo

Kontakt oss:
Norsk radiologisk forening

Om nettsidene
Nettredaktør:

Mathias Leo Kanold

Personvern og informasjonskapsler
© 2026 Legeforeningen